Therapeutic Treatment For Patient Maxillary Sinus Atrophy: Pterygoid Implants

Dr. GUIDO RAVECCA
Dr. GUIDO RAVECCA
Country: Italy
Gallery
Therapeutic Treatment For Patient Maxillary Sinus Atrophy: Pterygoid Implants
Therapeutic Treatment For Patient Maxillary Sinus Atrophy: Pterygoid Implants
Therapeutic Treatment For Patient Maxillary Sinus Atrophy: Pterygoid Implants
Patient's Data:
  • Age: 56
  • Sex: Female
  • Smoker: No
  • Pathologies: Bruxist – Diabetes type 2
  • Hygenic state: Bad
  • Alergies: None

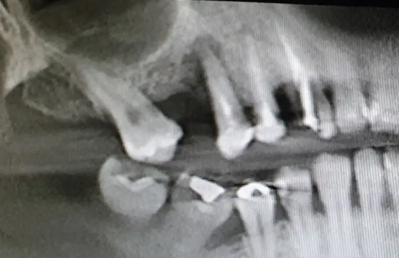
From the first radiographic examination (OPT and CT scan) there is an evident periapical granuloma and pain with pressure on 14 and 15, while 17 element is parodontopathic, moreover there is a lack of bone in 16 and 17 area with chronic infections at the level of the maxillary sinus. Due to the clinical history of the patient it was not advisable to go for a sinus lift, it has been planned the insertion of a pterygo implant and 2 post extractive EV implants. During the surgery, biomaterial (Novocor from B&B Dental) was added to the insertion of the implants  to remodel the ridge horizontally, given the evident bone deiescence. Two temporary provisional titanium abutments were then inserted, welded with a two titanium bar. We inserted 2 EV implants to reach a better primary stability. As the patient is bruxist the crowns have been totally unloaded. The pterygoid implant will be loaded on a second session.

IMPIANTI E COMPONENTI PROTESICI
STRUMENTI CHIRURGICI E KIT
MATERIALI DA RIGENERAZIONE
CENTRO DI FRESAGGIO
PHYSIODISPENSER 3000
IMPIANTI IUXTA

CONDIVIDI I TUOI CASI CLINICI IMPLANTOLOGIA CON B&B DENTAL!

COMPILA ORA IL MODULO